Azərbaycanca (AZ) Azərbaycanca (AZ)Deutsch (DE) Deutsch (DE)English (US) English (US)Қазақша (KZ) Қазақша (KZ)Lietuva (LT) Lietuva (LT)සිංහල (LK) සිංහල (LK)Türkçe (TR) Türkçe (TR)O'zbekcha (UZ) O'zbekcha (UZ)中國人 (CN) 中國人 (CN)
Support
Free Download and Information Platform
  • Wikipedia

Cytomegalovirus (CMV) (from cyto- 'cell' via Greek κύτος kútos- 'container' + μέγας mégas 'big, megalo-' + -virus via Latin vīrus 'poison') is a genus of viruse

Cytomegalovirus

  • HomePage
  • Wikipedia
  • Cytomegalovirus

Cytomegalovirus (CMV) (from cyto- 'cell' via Greek κύτος kútos- 'container' + μέγας mégas 'big, megalo-' + -virus via Latin vīrus 'poison') is a genus of viruses in the order Herpesvirales, in the family Herpesviridae, in the subfamily Betaherpesvirinae. Humans and other primates serve as natural hosts. The 11 species in this genus include human betaherpesvirus 5 (HCMV, human cytomegalovirus, HHV-5), which is the species that infects humans. Diseases associated with HHV-5 include mononucleosis and pneumonia, and congenital CMV in infants can lead to variety of birth defects, including those involving the eyes, ears, liver, and spleen.

Cytomegalovirus
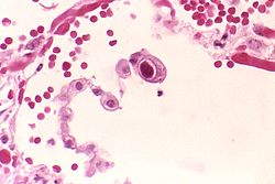
Typical "owl eye" intranuclear inclusion indicating CMV infection of a lung pneumocyte
Typical "owl eye" intranuclear inclusion indicating CMV infection of a lung pneumocyte
Virus classification Edit this classification
(unranked): Virus
Realm: Duplodnaviria
Kingdom: Heunggongvirae
Phylum: Peploviricota
Class: Herviviricetes
Order: Herpesvirales
Family: Orthoherpesviridae
Subfamily: Betaherpesvirinae
Genus: Cytomegalovirus
Species

See text

Synonyms
  • Human cytomegalovirus group

In the medical literature, most mentions of CMV without further specification refer implicitly to human CMV. Human CMV is the most studied of all cytomegaloviruses.

MX2/MXB protein was identified as a restriction factor for herpesviruses, which acts at a very early stage of the replication cycle and MX2/MXB restriction of herpesvirus requires GTPase activity.

Contents

Taxonomy

Within the Herpesviridae, CMV belongs to the Betaherpesvirinae subfamily, which also includes the genera Muromegalovirus and Roseolovirus (human herpesvirus 6 and human herpesvirus 7). It is also related to other herpesviruses within the Alphaherpesvirinae subfamily, which includes herpes simplex viruses 1 and 2 and varicella-zoster virus, and the Gammaherpesvirinae subfamily, which includes Epstein–Barr virus and Kaposi's sarcoma-associated herpesvirus.

Several species of Cytomegalovirus have been identified and classified for different mammals. The most studied is Human cytomegalovirus (HCMV), which is also known as Human betaherpesvirus 5 (HHV-5). Other primate CMV species include Chimpanzee cytomegalovirus (CCMV) that infects chimpanzees and orangutans, and Simian cytomegalovirus (SCCMV) and Rhesus cytomegalovirus (RhCMV) that infect macaques; CCMV is known as both Panine beta herpesvirus 2 (PaHV-2) and Pongine betaherpesvirus 4 (PoHV-4). SCCMV is called cercopithecine betaherpesvirus 5 (CeHV-5) and RhCMV, Cercopithecine betaherpesvirus 8 (CeHV-8). A further two viruses found in the night monkey are tentatively placed in the genus Cytomegalovirus, and are called Herpesvirus aotus 1 and Herpesvirus aotus 3. Rodents also have viruses previously called cytomegaloviruses that are now reclassified under the genus Muromegalovirus; this genus contains Mouse cytomegalovirus (MCMV) is also known as Murid betaherpesvirus 1 (MuHV-1) and the closely related Murid betaherpesvirus 2 (MuHV-2) that is found in rats.

Species

The following 11 species are assigned to the genus in ICTV 2022:

  • Cytomegalovirus aotinebeta1
  • Cytomegalovirus cebinebeta1
  • Cytomegalovirus cercopithecinebeta5
  • Cytomegalovirus humanbeta5
  • Cytomegalovirus macacinebeta3
  • Cytomegalovirus macacinebeta8
  • Cytomegalovirus mandrillinebeta1
  • Cytomegalovirus paninebeta2
  • Cytomegalovirus papiinebeta3
  • Cytomegalovirus papiinebeta4
  • Cytomegalovirus saimiriinebeta4

Structure

 
Schematic of a Cytomegalovirus

Viruses in Cytomegalovirus are enveloped, with icosahedral, spherical to pleomorphic, and round geometries, and T=16 symmetry. The diameter is around 150–200 nm. Genomes are linear and nonsegmented, around 200 kb in length.

Genus Structure Symmetry Capsid Genomic arrangement Genomic segmentation
Cytomegalovirus Spherical pleomorphic T=16 Enveloped Linear Monopartite

Genome

 
Class E genome of HCMV. The unique long and unique short regions are indicated as UL and US. Repeat regions are indicated as a, b and c sequences, where primes designate inverted orientations. Sequences ab and b′a′ correspond to the terminal/internal repeat long (TRL/IRL); sequences a′c′ and ca correspond to the internal/terminal repeat short (IRS/TRS). Top: typical genome arrangement of wild-type strains; bottom: genome arrangement of strain AD169, a laboratory-adapted strain. Genome rearrangements that have occurred during extensive passaging are indicated in red between the wild-type and laboratory-adapted configurations.

Herpesviruses have some of the largest genomes among human viruses, often encoding hundreds of proteins. For instance, the double‑stranded DNA (dsDNA) genome of wild-type HCMV strains has a size of around 235 kb and encodes at least 208 proteins. It is thus longer than all other human herpesviruses and one of the longest genomes of all human viruses in general. It has the characteristic herpesvirus class E genome architecture, consisting of two unique regions (unique long UL and unique short US), both flanked by a pair of inverted repeats (terminal/internal repeat long TRL/IRL and internal/terminal repeat short IRS/TRS). Both sets of repeats share a region of a few hundred bps, the so-called "a sequence"; the other regions of the repeats are sometimes referred to as "b sequence" and "c sequence".

Life cycle

Viral replication is nuclear and lysogenic. Entry into the host cell is achieved by attachment of the viral glycoproteins to host receptors, which mediates endocytosis. Replication follows the dsDNA bidirectional replication model. DNA templated transcription, with some alternative splicing mechanism is the method of transcription. Translation takes place by leaky scanning. The virus exits the host cell by nuclear egress and budding. Humans and monkeys serve as the natural hosts. Transmission routes are dependent on coming into contact with bodily fluids (such as saliva, urine, and genital secretions) from an infected individual.

Genus Host details Tissue tropism Entry details Release details Replication site Assembly site Transmission
Cytomegalovirus humans; monkeys Epithelial mucosa Glycoproteins Budding Nucleus Nucleus Urine; saliva; congenital

All herpesviruses share a characteristic ability to remain latent within the body over long periods. Although they may be found throughout the body, CMV infections are frequently associated with the salivary glands in humans and other mammals.

Genetic engineering

The CMV promoter is commonly included in vectors used in genetic engineering work conducted in mammalian cells, as it is a strong promoter and drives constitutive expression of genes under its control.

History

Cytomegalovirus was first observed by German pathologist Hugo Ribbert in 1881 when he noticed enlarged cells with enlarged nuclei present in the cells of an infant. Years later, between 1956 and 1957, Thomas Huckle Weller together with Smith and Rowe independently isolated the virus, known thereafter as "cytomegalovirus". In 1990, the first draft of human cytomegalovirus genome was published, the biggest contiguous genome sequenced at that time.

See also

  •  Viruses portal
  • CMV polyradiculomyelopathy
  • Human cytomegalovirus

wikipedia, wiki, encyclopedia, book, article, read, free download, Information about cytomegalovirus. What is cytomegalovirus? What does cytomegalovirus mean?

←Next PostPrevious Post→
Most Read - Wikipedia
  • February 26, 2026

    Polity

  • March 07, 2026

    Calipers

  • March 07, 2026

    Power set

  • March 07, 2026

    Behavioural genetics

  • March 07, 2026

    Kierkegaard

Studio

  • Wikipedia

Newsletter Signup

Get in touch
Contact us
© 2025 www.azur.en-us.nina.az - All rights reserved.
Copyright: Dadash Mammadov
Top